황반변성

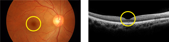
황반(Macula)

사람이 물체를 볼 때 상이 맺히는 카메라의 필름에 해당하는 부분이 망막입니다.황반(원 부분)은 망막의 중심부로서 중심시력을 담당하는 아주 섬세한 부분입니다.

황반변성(Macular degeneration)

황반변성은 노화, 망막질환, 유전성 질환, 약물 등에 의하여 황반이 손상되는 질환군을 말합니다. 대표적으로 노화에 의한 연령관련(노인성) 황반변성 (age-related macular degeneration)이 있습니다.

황반변성의 분류

비정상적인 신생혈관의 유무에 따라서 분류

건성(Dry AMD)  - 노폐물(드루젠) 침착, 망막색소상피 변화 및 위축

습성(Wet AMD)  - 맥락막 신생혈관

1. 건성 황반변성(Dry age-related macular degeneration)

황반에 노폐물(드루젠, drusen)이 침착되거나 황반 세포들이 위축됩니다. 
황반변성의 85~90%를 차지하며 시력저하가 크지 않고 느리게 진행하는 경우가 많아서 경각심을 잃기 쉬운 경향이 있습니다. 

하지만, 건성 황반변성의 가장 심한 형태인 지도상 위축 (geographic atrophy)은 말기 황반변성의 35%를 차지합니다.연령 관련 황반변성으로 법적 실명에 이르는 환자들 5명 중 1명은 지도상 위축에 의한 것이므로 실제 우리가 생각하는 것보다는 건성 황반변성에 의한 시력 손상의 위험성도 크므로, 이를 막기 위한 치료와 예방을 위한 생활수칙이 반드시 수반되어야 합니다.

2. 습성 황반변성(Wet age-related macular degeneration)

비정상적 신생혈관(맥락막 신생혈관)이 황반부에 자라 들어가는 형태입니다.맥락막 신생혈관 (choroidal neovascularization)은 출혈을 일으키거나(망막출혈), 혈관 내 성분들이 혈관 밖으로 새어나오기 쉽기 때문에(삼출물), 급격한 시력저하나 휘어 보이는 증상(변형 시, metamorphopsia)을 유발하게 됩니다.
건성 황반변성 중 10% 정도에서 습성 황반변성으로 진행하는 것으로 알려져 있습니다.

건성 황반변성에서 습성 황반변성으로 진행되는 과정

드루젠이 점차 증가하다가 (건성), 비정상적인 혈관이 자라 들어와서 (습성) 출혈과 부종, 삼출물을 발생시켜 급격한 시력저하를 유발합니다. 말기에는 섬유화되어 굳은살처럼 남게 되어 황반에 돌이킬 수 없는 영구적인 손상을 초래하게 됩니다.

안구항체주사는 비정상적인 신생혈관이 왕성한 시기에 시행하는 것이 효과가 좋습니다. 이 시기를 놓쳐서 섬유화되고 망막세포가 손상된 이후에는 아무런 효과가 없기 때문입니다. 따라서 조기에 진단하고 조기에 치료를 시작하여 골든타임을 놓치지 않는 것이 아무리 강조해도 나치지 않습니다.

비정상적인 신생혈관은 초기에는 출혈, 부종, 삼출물을 일으켜서 시력저하와 변시증을 유발하게 됩니다.

황반변성의 치료

  • 1금연
    초기 황반변성 환자가 담배를 피우면 초기 단계에서 중간단계로 발전할 위험이 36%나 높아지고, 실명할 확률이 7배 높아지므로 금연은 필수입니다.
  • 2식생활
    육고기 위주의 식사보다는 신선한 과일과 녹황색 채소, 푸른 생선 등 섭취량을 늘리는 것만으로도 황반변성 증상을 예방하고 진행을 늦추는데 효과적입니다.
  • 3고지혈증 예방
    고지혈증도 황반변성의 위험도를 증가시키는 것과 연관성이 있다는 여러 연구가 있습니다. 식이조절과 함께 콜레스테롤이 높아지지 않도록 주의하세요.
  • 4자외선 차단 - 선글라스 착용을 생활화하시는 것이 좋습니다.
  • 5눈 영양제 복용
    AREDS2(age-related eye disease study 2)연구에서 제안하는 성분(비타민C와 E, 아연, 구리, 루테인과 지아잔틴, DHA와 EPA)이 적절한 용량으로 포함된 공인된 눈 영양제를 복용하시길 권해드립니다. 꾸준히 눈 영양제를 복용하면 심한 황반변성으로 진행할 위험성을 25% 감소시킬 수 있습니다.
  • 6정기적인 안과 검진
    황반변성은 증상이 없는 조기에 발견하는 것이 매우 중요하며, 황반변성의 단계에 따라서 일정한 간격으로 규칙적인 검진을 받으시길 권해드립니다.
  • 7안구항체주사 (Intravitreal injection)
    약물을 망막 내에 직접 주사하는 치료법으로 기존의 치료법에 비해 만족도가 높아 선호하는 치료법
  • 8광역학치료 (Photodynamic therapy)
    약물을 정맥주사하여 신생혈관을 막아서 황반변성 증상의 진행을 막고 시력을 보존, 유지시키는 치료법

황반변성 자가진단법

황반 변성은 노화, 흡연, 고도근시 등 여러 위험 인자 및 원인 불명으로 생깁니다. 형태에 따라 레이저광응고술이나 안구내주사 치료 등을 시행할수 있으며, 많이 진행된 경우에는 중심 시력의 손상, 실명까지 초래합니다. 
따라서 황반변성의 조기발견이 시력유지에 무엇보다 중요하므로 망막정밀검사를 진행해서 여부를 진단해보시는 것이 좋습니다. 

암슬러 격자 검사를 통해 집에서 자가 진단을 해볼수도 있습니다. 

30~40 cm 떨어진 곳에서 한쪽 눈을 가리고 암슬러 격자를 바라봅니다. 
선이 휘어지거나, 네모 칸의 크기가 다르거나, 격자 중앙에 위치한 점이 보이지 않으면 황반변성을 의심해 볼수 있으며, 정밀 검사를 위해 안과에 내원하시기 바랍니다.